
Харвуд – "Ветеринарное руководство по здоровью и благополучию коз". Гл. 10.
4,32К
Уважаемые коллеги,
мы продолжаем переводить книгу Дэвида Харвуда "Ветеринарное руководство по здоровью и благополучию коз" (The Crowood Press Ltd, 2019).
(...)
Глава 8-1 –
"Проблемы с молодняком". Часть 1.
Глава 8-2 –
"Проблемы с молодняком". Часть 2.
Глава 8-3 –
"Проблемы с молодняком". Часть 3.
Глава 9-1 –
"Пищеварительная система". Часть 1.
Глава 9-2 –
"Пищеварительная система". Часть 2.
Глава 9-3 –
"Пищеварительная система". Часть 3.
Глава 9-4 –
"Пищеварительная система". Часть 4.
Файлы прилагаю к посту (
в документе DOC приведены текст главы на русском языке и все иллюстрации).
Спасибо за внимание.
Глава 10. Дыхательная система
В этой главе мы рассмотрим заболевания, связанные с ноздрями, носовой полостью, придаточными пазухами, гортанью, трахеей и легкими. Течение респираторных заболеваний может быть самым разнообразным – от незначительных выделений из носа до падежа от тяжелой пневмонии, при инфекционном заболевании в группе коз можно наблюдать полный спектр симптомов. Некоторые заболевания развиваются быстро, другие имеют хроническое течение.
Наиболее распространенные клинические признаки, на которые следует обратить внимание: выделения из носа, кашель, чихание, одышка (затрудненное, часто шумное дыхание), гиперпноэ (учащенное дыхание), а также повышение температуры и отсутствие аппетита. Хотя многие из этих признаков легко заметны, рекомендуется понаблюдать за дыханием вашей козы, подозрительной по респираторному заболеванию, и сравнить его с дыханием других особей. Испытывая трудности с дыханием, коза характерным образом вытягивает шею, чтобы облегчить движение воздуха по дыхательным путям, дышит через рот, а локти при этом обычно отведены от груди.
Нормальная частота дыхания взрослых коз – 15-30 вдохов в минуту, молодняка – 20-40, с умеренным усилием дыхательной мускулатуры.
Затрудненное дыхание также наблюдается при различных заболеваниях, не связанных с дыхательной системой, например, при вздутии, ацидозе, если коза подавилась (см.
Главу 9), при гипокальциемии (см.
Главу 7), анемии (см.
Главу 11), в ряде случаев – при отравлении (см.
Главу 18). Также это может быть симптомом теплового удара (иногда возникает при содержании в небольшом плохо вентилируемом помещении в жаркую погоду, например, на выставках. Галитоз (неприятный запах изо рта при дыхании) обычно связан с заболеваниями зубов и десен.
🔴 ЗАРАЗНЫЕ БОЛЕЗНИ ОРГАНОВ ДЫХАНИЯ
Важно подчеркнуть, что многие респираторные заболевания могут быть многофакторными, т.е. иметь более одной причины, и к действию одного и более возбудителей может добавляться эффект от неблагоприятных условий среды (недостаточная вентиляция, запыленность и пр.).
🔹 Пастереллез
◾ Возбудители – бактерии
Mannheimia haemolytica (ранее –
Pasteurella haemolytica) или
Pasteurella multocida, реже –
Bibersteinia trehalosi (ранее –
Pasteurella trehalosi). Большинство доступных вакцин защищают от широкого спектра различных серотипов пастерелл. Следует отметить, что эти бактерии обычны в глотке и миндалинах клинически здоровых коз, но при развитии заболевания инфекция в большей или меньшей степени поражает легкие. Пусковой механизм болезни еще мало изучен как у коз, так у овец, но, вероятно, сходен. Заболевание часто следует за стрессом, например, отъемом молодняка, возникает при скученном размещении животных, недостаточном вентилировании и повышенной запыленности помещений, может развиться на фоне другой болезни или травмы. Пастереллез может возникнуть и вследствие поражения верхних дыхательных путей при микоплазменной респираторной инфекции, гельминтозах и других заболеваниях.
❗ Хотя микроорганизмы, особенно в закрытом помещении, несомненно, передаются от одного животного другому, в большинстве случаев пастереллез развивается не сам по себе, а в результате стресса или сопутствующего заболевания у животных-носителей.
◾
Поражаемая возрастная группа. Пастереллез может развиться в любом возрасте, но особую угрозу представляет для молодняка, особенно в хозяйствах интенсивного типа, где в одном здании содержатся козы различных возрастных групп.
◾
Клинические признаки. На ранних стадиях температура тела несколько повышенная, аппетит снижен. По мере развития поражения легких дыхание становится все более затрудненным и учащенным, коза вытягивает шею для облегчения дыхания (см. выше). Возможны кашель и выделения из носа, ноздри покрываются коркой. Рекомендуется как можно более раннее выявление болезни, поэтому при появлении симптомов обратитесь к ветеринару, с помощью стетоскопа он может оценить степень поражения легких. Картина при вскрытии довольно типичная, отмечаются крупные участки гепатизации (уплотнения) тканей легких.
◾
Лечение. Обычно при пастереллезе ветеринары назначают антибиотики, причем не только для заболевших, но и для профилактики контактировавших с ними животных. Заболевших животных необходимо содержать в просторном помещении или загоне с защитой от ветра и дождя. В то же время необходимо обеспечить удобство отлова животных для проведения лечебных мероприятий так, чтобы минимизировать стрессовую нагрузку.
◾
Профилактика. Несмотря на то, на козах можно использовать вакцины против пастереллеза для овец, обсудите их применение с ветеринаром. В большинстве случаев автор не видит необходимости вакцинировать от пастереллеза, если хозяйство по этой болезни благополучно; часто иммунизацию поголовья проводят, когда болезнь на ферме приобретает затяжной характер.
Хотя некоторые производители выпускают комбинированные вакцины против клостридиоза и пастереллеза, автор настоятельно рекомендует раздельное их введение для формирования более стойкого иммунитета. Обычно вакцину от пастереллеза вводят двукратно с интервалом 4-6 недель, далее при необходимости проводят ежегодную ревакцинацию. Сукозных маток ревакцинируют, как правило, ближе к концу беременности, чтобы обеспечить более высокий уровень антител в молозиве. Молодняк от вакцинированных маток, получающий достаточно молозива, защищен от пастереллеза в течение первого месяца жизни, далее может потребоваться вакцинация, если в хозяйстве уже отмечался высокий уровень заболевания у козлят. Животных, представляемых на выставках, желательно вакцинировать от пастереллеза, даже если хозяйство по нему благополучно.
Также следует обратить внимание на зоогигиенические условия:
- Животноводческие помещения должны быть просторными и хорошо вентилируемыми, но температура воздуха не должна быть слишком низкой. При естественной вентиляции воздух должен свободно поступать через размещенные на достаточной высоте вентиляционные отверстия в стенах здания и проходить над размещенными козами, не вызывая сквозняков. Нагревшийся воздух при правильной циркуляции удаляется через вентиляционный конек.
- Если в здании слишком холодно, можно организовать временные укрытия, например, из тюков соломы.
- Подстилка не должна пылить.
- Не допускайте скученности животных – убедитесь, что соблюдаются нормы площади для размещения коз и имеется достаточно места для кормления и отдыха животных.
- Козлята на доращивании должны быть здоровы, важно, чтобы в группе не было хронических заболеваний, например, кокцидиоза.
- В одном помещении не рекомендуется содержать разновозрастных животных.
- Следует соблюдать принцип “пусто – занято” и не переводить в группу к младшим козлятам ослабленный и больной молодняк из более старших групп.
- В очень жаркую погоду комфортную температуру воздуха в помещении поддерживают с помощью естественной или принудительной вентиляции.
🔹 Туберкулез (ТБ)
Козы, хотя и редко, могут заражаться туберкулезом бычьего, птичьего и человеческого типов. Они могут быть вторичными хозяевами возбудителя туберкулеза КРС в неблагополучных регионах, а также в зонах, близких к природным очагам (так, в Великобритании природоочаговый туберкулез достаточно широко отмечается в популяциях барсуков). Отдельные случаи заражения возбудителем птичьего типа встречаются при контакте коз с инфицированной домашней или дикой птицей. Сообщалось и о заражении коз человеческим типом от инфицированного владельца/зоотехника/ветеринара, чаще – если коз содержали в качестве питомцев.
❗ Необходимо отметить, что болезнь зооантропонозная – передается человеку от животных. Микобактерии-возбудители в молоке инфицированных животных могут быть инактивированы при пастеризации.
В РФ молоко от животных, достоверно больных туберкулезом, подлежит уничтожению. Молоко от животных, реагирующих на туберкулин, пастеризуют в хозяйстве в течение 30 мин. при 75-80 °С. Молоко из хозяйств, где имеются больные туберкулезом животные, после пастеризации можно доставить на завод для переработки только с разрешения ветеринарно-санитарного надзора. Его перевозят в отдельной тape с соответствующей этикеткой или биркой, перерабатывают обособленно с повторной пастеризацией.
Козы чаще всего заражаются такими микобактериями туберкулезного комплекса (МТК), как
M. bovis – бычьего типа,
M. avium – птичьего,
M. tuberculosis – человеческого.
M. bovis существует в нескольких формах – сполиготипах. Метод сполиготипирования туберкулезных микобактерий произвел революцию в эпидемиологических исследованиях случаев заболеваемости туберкулезом КРС и коз в Великобритании.
Инфекция передается через вдыхаемый воздух или пищеварительный тракт от инфицированных животных, людей, с кормами/подстилкой/навозом/инвентарем, молодняк может заражаться через молозиво/молоко, а также внутриутробно.
М. bovis имеет тропность (привязанность) к дыхательным путям, вызываемые ей абсцессы могут развиваться в паренхиме легких, обычно образуя гранулемы в лимфоузлах и на серозных оболочках – плевре и перикарде.
В регионах, где распространен туберкулез КРС, отмечают такие его
симптомы, как истощение животных, снижение надоев, кашель и другие не связанные с дыханием признаки, например, отставание животных при перегонах. Подозрение должно вызывать отсутствие реакции на лечение респираторных болезней у животных в неблагополучных по туберкулезу зонах.
У многих инфицированных коз клинические признаки могут быть выражены слабо, и заболевание зачастую обнаруживают только после паталогоанатомического исследования, оценки мяса или во время прижизненного скрининга на ТБ.
Распространенные
диагностические исследования на туберкулез – внутрикожная туберкулиновая проба (ВТП) и цервикальный тест SICCT (сравнительно новый метод). В Великобритании также применяют тест на продукцию гамма-интерферона (IFN), а после секвенирования генома
M. bovis разрабатываются новые методы иммуноферментного анализа (ИФА), перспективные и для козоводства.
Однако в ряде случаев после вакцинации против паратуберкулеза получают ложноположительный результат на туберкулез.
Туберкулез внесен Всемирной организацией по охране здоровья животных в список особо опасных заболеваний, поэтому в контроле над ним используют специальные государственные программы, различающиеся в разных странах из-за степени распространения и наличия природных очагов. В Великобритании туберкулез животных контролируется в рамках системы Defra / APHA,
в РФ – управлениями Россельхознадзора. Большинство программ ориентировано на борьбу с заболеванием КРС, однако ведется и контроль здоровья коз. К сожалению, готовых методов лечения не существует, и контроль заболевания осуществляется посредством тестирования и убоя заболевших животных. Если в регионе отмечены естественные очаги туберкулеза, необходимо строго соблюдать правила поддержания биологической безопасности хозяйств.
Установлено, что у КРС и МРС можно сформировать противотуберкулезный иммунитет с помощью вакцины, однако он краткосрочный и недостаточно напряженный, при высоком уровне возбудителя болезни вероятен его прорыв.
🔹 Микоплазмоз
Заболевания коз вызывают несколько видов микоплазм, наиболее серьезное из них –
инфекционная плевропневмония коз (Contagious caprine pleuropneumonia, CCPP; ИППК, КППК), встречающаяся преимущественно в регионах Африки и Азии,
в настоящий момент в России не отмечается. В восприимчивых стадах заболеваемость может достигать 100%, смертность – 80%.
В случае сверхострого течения
симптоматика не успевает проявиться, при этом в стадах отмечают неожиданный падеж. При острой форме отмечается повышение температуры тела (41-43 ℃), вялость и истощение, по мере развития болезни, через два-три дня, к этому добавляется кашель и затрудненное дыхание. Кашель учащается и усиливается, в начале болезни он сухой, далее влажный. Всемирная организация по охране здоровья животных относит заболевание к группе особо опасных карантинных, ведется мониторинг его распространения, при выявлении необходимо уведомлять специалистов ветеринарного контроля. Методы борьбы, контроля и надзора в разных странах могут отличаться.
В Великобритании респираторные болезни, вызываемые микоплазмами, распространены довольно широко, обычно сами по себе обычно протекают легко, но могут быть отягощены сопутствующим пастереллезом (см. ранее). Основные возбудители –
Mycoplasma ovipneumoniae и
Mycoplasma arginini. Клинические симптомы чаще встречаются у молодняка, отмечают кашель и истечения из носа. Неотягощенный микоплазмоз часто проходит без лечения, но, если отмечаются серьезные проблемы, следует обратиться к ветеринару.
Т.н. "выставочный кашель" обычно легкий, может появляться у животных после выставки, при этом также снижается аппетит, но через 24-48 часов состояние нормализуется. Предположительно это явление также связано с заражением микоплазмами.
🔹 Вирусы
В обычных условиях козы не заражаются вирусами, вызывающими респираторные болезни КРС, однако описаны случаи экспериментального заражения.
Инфекционный артрит-энцефалит коз (АЭК/CAE): вирус может вызывать хроническое поражение легких – пневмонит (воспаление стенки легочных альвеол, сопровождающееся рубцеванием). Подробнее заболевание рассмотрено в
Главе 13.
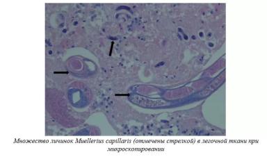
🔹 Паразитические черви
Респираторные болезни коз вызывают два вида гельминтов:
Dictyocaulus filaria (возбудитель
диктиокаулеза) и
Muellerius capillaris (возбудитель
мюллериоза) – общие паразиты с овцами.
Жизненный цикл каждого из видов имеет свои особенности.
- У Dictyocaulus развитие прямое. Взрослые паразиты обитают в трахее и дыхательных путях; животные откашливают яйца червей с бронхиальной слизью и заглатывают их, в тонком кишечнике развиваются личинки 1 стадии, после чего они выводятся с навозом. Далее личинки проходят еще две стадии развития вне организма хозяина, попадают в ЖКТ с кормом, проникают в подслизистый слой тонкого кишечника, далее – в лимфатические и кровеносные сосуды, мигрируют через печень, сердце, легкие, проникают в бронхи, где развиваются до половозрелой стадии.
- Жизненный цикл Muellerius сложнее. Микроскопические паразиты поселяются в альвеолах – конечных участках дыхательных путей, составляющих легочную ткань. Личинки развиваются в легких, продвигаются по дыхательным путям до ротовой полости, проглатываются, с навозом загрязнят пастбища. Далее они паразитируют на промежуточных хозяевах – сухопутных и некоторых водных моллюсках, позднее выходят из них и проглатываются козами и овцами с кормом.
Поражаемая возрастная группа. Как отмечалось в
Главе 9, иммунитет к нематодам у коз формируется слабый, поэтому заражаются животные любого возраста, но особенно тяжело заболевания протекают у молодняка.
Клинические признаки. Если паразитарная нагрузка невелика, течение болезни обычно нетяжелое. Симптомы общие и для диктиокаулеза, и для мюллериоза: отмечаются потеря веса, снижение надоев, легкий кашель, в ряде случаев – снижение переносимости физических нагрузок (например, пораженная коза отстает от группы при перегоне), при тяжелом течении – сильная одышка. Диагноз устанавливают при лабораторном исследовании навоза или паталогоанатомическом вскрытии.
Лечение. Используют антигельминтные препараты согласно рекомендациям производителя, предварительно проконсультируйтесь с ветеринаром, чтобы убедиться, что заболевание вызвано именно червями.
🔴 НЕЗАРАЗНЫЕ БОЛЕЗНИ ДЫХАТЕЛЬНОЙ СИСТЕМЫ
🔹 Ингаляционная / аспирационная пневмония
Заболевание возникает, когда корма или жидкости (например, вводимые дренчером медикаменты) попадают не в пищевод, а в трахею; поступившее вещество затем может быть аспирировано глубоко в легочную ткань. Если в легкие попало много жидкости, коза может буквально захлебнуться и погибнуть, при меньших объемах животное остается в живых и состояние его поначалу улучшается, но далее, через сутки или около того, может развиться тяжелая бронхопневмония вследствие размножения бактерий в ткани легких. Также пневмонию может вызвать отравление рододендроном при поедании растений или вдыхании испарений от них (см.
Главу 18).
При подозрении на попадание жидкости в дыхательные пути можно попытаться перевернуть животное вверх ногами, чтобы она вытекла, процедуру проще проводить с молодняком. Если животное взрослое и крупное, это сделать труднее, однако можно ненадолго разместить козу так, чтобы ее задние конечности были выше передних. Против развития вторичной бактериальной инфекции применяют антибиотики.
🔹 Травма при использовании дренчера
При неправильном применении дренчера, например, во время дегельминтизации стада, можно травмировать гортань. Как правило, это происходит при недостаточной фиксации животного во время процедуры или деформации насадки. Обычно сразу после этого отмечаются симптомы удушья, но скоро проходят. В месте повреждения может развиться раневая инфекция и абсцесс, его давление на гортань может вызвать проблемы с дыханием.
🔹 Опухоли
Первичные раковые опухоли в легких у коз встречаются редко, однако довольно часто отмечаются вторичные – при развитии метастазов. В большинстве случаев их диагностируют у коз-питомцев преклонного возраста, значительно реже – у коз из промышленных стад, которых, как правило, отбраковывают в более молодом возрасте.
Тимомы – опухоли, поражающие вилочковую железу (лимфоидный орган, расположенный в грудной полости недалеко от сердца). Они могут быть очень крупными: так, автор наблюдал тимому размером с футбольный мяч, занимающую большую часть грудной клетки и оказывающую усиливающееся давление на сердце и легкие. В анамнезе отмечалось усиление дыхательной недостаточности в течение нескольких недель, потеря веса, набухание и заметная пульсация яремной вены.
🔹 “Зимний кашель”
Заболевание несколько сходно с “сенной лихорадкой” (аллергическим риноконъюнктивитом) у людей. Чаще встречается у коз старшего возраста при зимнем стойловом содержании, и, по-видимому, связано с аллергической реакцией на пыль, пыльцу и/или грибковые споры в недоброкачественном корме или подстилке. У заболевших животных дыхание учащается, появляется хронический кашель, отмечается потеря веса. Те же животные часто поражаются и в дальнейшем. На открытом воздухе дыхание нормализуется.
Перевела Алиса Романенко, редактировал Снорри А. Токей.
Опубликовано: 18 июня, 2021 в 16:56
Похожие посты

Пневмония у молодняка коз

Харвуд – "Ветеринарное руководство по здоровью и благополучию коз". Итоги

Харвуд – "Ветеринарное руководство по здоровью и благополучию коз". Гл. 13, ч. 2

Харвуд – "Ветеринарное руководство по здоровью и благополучию коз". Гл. 13, ч. 1

Харвуд – "Ветеринарное руководство по здоровью и благополучию коз". Гл. 9., ч. 3


Нет комментариев