Профессиональные навыки
Растениеводство
7 место в ТОПе региона
Животноводство
4 место в ТОПе региона
Техника и механизмы
7 место в ТОПе региона

Поговорим?: "Датчики выявления охоты КРС/МРС"
398
Добрый день коллеги и друзья, сегодня слегка нестандартная для меня тема, хотел бы узнать Ваше отношение к датчикам выявления охоты.
Используете, не используете? и какие плюсы (если используете) вы ...
Благодарю за ответ Надежда, рад активности)
Для развития дискуссии скажу:)
Тут надо отметить ...
Для развития дискуссии скажу:)
Тут надо отметить ...
И снова о УЗИ семенников у разных видов животных.
438
Всем добрый день!
Помню, что обещал выкладывать больше материала по УЗИ молочных КРС, но материала у меня по этой теме не на столько много, так как работаю чуть ...
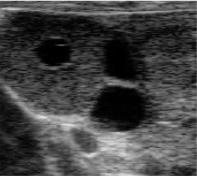
Кисты яичника у КРС
1,04К
Добрый день коллеги, рад вернуться сюда снова!
Итак, сегодня предлагаю к обсуждению такую проблему как кистозная дегенерация фолликулов яичника, в простонародье - кисты .
Они ...
Добрый день Елена, ох как давно я не заходил на Direct farms, я надеюсь, что ...
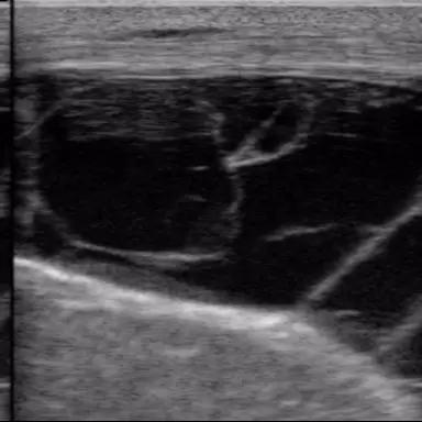
Расшифровка вчерашнего УЗИ снимка
459
Доброе утро коллеги!
На неделю пропаду, так как улетаю в Сибирь обучать клиентов.
Однако, не могу не рассказать что же было изображено на вчерашнем интерактивном снимке.
Добрый день, благодарю за комментарии), в четверг только вернусь из коммандировки, к сожалению сейчас доступа ...
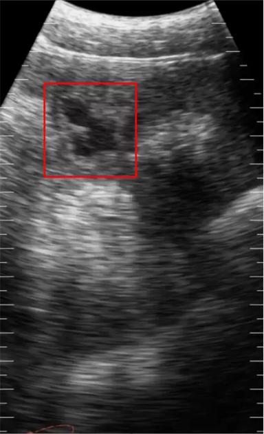
Интерактив по УЗИ!)
313
Всем доброго времени суток!
Сегодня без постов и знаний, просто предлагаю Вам угадать , какой орган визуализирован на снимке!)
Подсказки - это КРС, мясное направление, ...
Чуть чуть мимо, но благодарю за попытку :D
Орган также связан с репродуктивной системой ...
Селекция по мясным показателям с УЗИ
550
Новый день, новый пост!
Итак, сегодня я бы хотел познакомить вас со всем возможностями использования ультразвука в промышленном животноводстве.
Уже давно УЗ диагностика используется не только в ...
Да, я сам до начала работы в отделе УЗИ, думал что у сельхоз. животных возможности ...
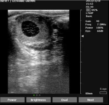
Определение супоросности на ранних сроках при помощи УЗИ!
593
И снова здравствуйте!
В прошлом посте мы разобрались с Ультразвуком и цветами реализации снимков.
Сегодня у меня есть для Вас интересный интерактив, конечно без призов, но думаю будет ...
Очень очень близко, 21 день супоросности)
Супер! Спасибо :D
В будущем выложу пост ...
В будущем выложу пост ...
УЗИ снимки в свиноводстве и не только!
706
Добрый день дорогие друзья, давайте знакомиться!
Меня зовут Кирилл и я интересуюсь УЗИ во всех сферах сельского хозяйства.
Буду делится знаниями в мире Ультразвуковых исследований как для начинающих ...
Все свежие вопросы появляются, примерно раз в неделю, в аккаунте «Вопросы по животноводству»: https://direct.farm/user/1449 ...


Последние обсуждения
Что я могу предложить Вам сейчас, если Вам всё ещё интересно - напишите Вашу почту и я поделюсь вебинарами по УЗИ и репродукции которые у меня имеются.
Для развития дискуссии скажу:)
Тут надо отметить 2 момента:
1. Цена гормональных схем на поголовье в год. (Если прикинуть, уход от гормонов будет выгоднее), понятно, что целиком и полностью уйти от гормонов не получится, но не колоть их здоровым цикличным коровам - можно)
Датчики определят коров пришедших в охоту после схемы, и тем самым повышается рейтинг выявления коров в охоте, соответственно ему повышаются и все остальные показатели)
Возвращаясь к Вашему комментарию, соглашусь по поводу 3го случая, он очень спорный и разные специалисты будут его трактовать по разному.
И касательно этого снимка, я согласен что также (как трабекулы) могут светиться лизированные эритроциты, полость обычно схлопывается и заростает через 20-30 дней, (около 90%).
Цикл
Уровень прогестерона
Скорость зачатия
Риски эмбриональной смертности.
Как уже и говорил в данный момент на свиноводстве очень широко используется в РФ данный метод исследования.
В направлении мясного КРС и Овцеводства пока нужно работать, но думаю со временем и туда это внедрится))
И также есть возможность работы по фертильности самцов, напишу тут чтобы в опроснике не спойлерить) это был снимок семенника у быка породы Ангус)
В будущем выложу пост с размерами по срокам супоросности)
Если не будет правильного ответа, завтра выложу пост с разъяснениями что к чему и куда смотреть))