
УЗИ снимки в свиноводстве и не только!
706
Добрый день дорогие друзья, давайте знакомиться!
Меня зовут Кирилл и я интересуюсь УЗИ во всех сферах сельского хозяйства.
Буду делится знаниями в мире Ультразвуковых исследований как для начинающих специалистов так и для продвинутых.
Будем разбирать все тонкости и термины на понятном для всех языке.
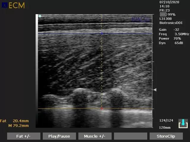
Итак, ультразвук, это очень интересная штука и разбирать технические тонкости его образования мы не будем, скажу лишь что он широко применяется как в ветеринарии так в медицине и не только!
На ультразвуковом снимке мы можем увидеть 3 цвета:
Черный - показывает нам полости с жидкостью, так как жидкость не отражает Ультразвук, такие области называются Анэхогенными.
Серый (все его оттенки) которых на самом деле больше 50ти - это ткани - Гомогенные структуры
Белый - кости или газ, данные структуры отлично отражают ультразвук и называются Гиперэхогенными.
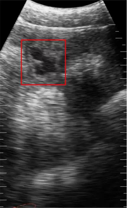
А теперь на примере снимка молодой свинки на стадии созревания
Большая часть изображения серая, видны некоторые затемнения, структуры плохо различимы, так как свинка ещё молодая и не осемененная. Небольшой белый отблик - стенка матки.
Справа- черного цвета - это мочевой пузырь.
Бывают ситуации когда мочевой пузырь наполнен - он отталкивает маточные трубы что затрудняет визуализацию, в таком случае лучше вернуться к данной свиноматке чуть позже, после его опорожнения.
Для большего удобства при работе с ремочками, необходимо размешать датчик чуть выше/ глубже.
Так как маточные связки ещё не растянуты вынашиванием плодов.
Буду рад вашим отзывам и вопросам, до новых встреч!
Опубликовано: 11 марта, 2022 в 16:20
Похожие посты

И снова о УЗИ семенников у разных видов животных.

Селекция по мясным показателям с УЗИ

Определение супоросности на ранних сроках при помощи УЗИ!

УЗИ-диагностика коз. Какой УЗИ аппарат лучше и нужен ли он вообще?

КОРМОВЫЕ АМИНОКИСЛОТЫ


7 комментариев
Вы консультант или в хозяйстве работаете?
В каких регионах работаете?)