
Селекция по мясным показателям с УЗИ
532
Новый день, новый пост!
Итак, сегодня я бы хотел познакомить вас со всем возможностями использования ультразвука в промышленном животноводстве.
Уже давно УЗ диагностика используется не только в области репродукции, о чем знают не все, есть ещё 2 области применения на КРС и в Свиноводстве:
1. Прижизненная оценка качества мяса (о ней сегодня я и расскажу)
2. Прижизненное определение фертильности и мониторинг развития семенников у самцов. (Расскажу если будет интересно).
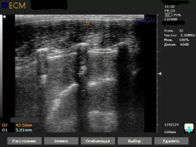
Исследования и снимки проводились и сделаны при помощи УЗИ сканера ExaGo от компании IMV imaging (ECM) Франция (последнее фото).
Приступим к снимкам:
1. Свиноводство - основная продуктивность свиньи - мясо. И в этой области УЗИ уже достаточно давно применяется как в России так и за рубежем.
С помощью ультразвука размещая линейный датчик длинной 13 см на последние 4 ребра вдоль позвоночника, можно получить такое изображение, по сути это продольный срез длиннейшей мышцы спины (тот самый карбонад). (первый снимок)
На нём, в основном, определяют 2 показателя, толщина шпика (причем отчетливо видны все 3 слоя (жир более эхогенен чем мышцы, если присмотритесь то посередине отчетливо виден второй слой, отблёскивающей полоской) и глубина мышцы.
Так же можно измерить при помощи УЗИ - площадь мышечного глазка, и с программным обеспечением высчитать % содержания внутримышечного жира (IMF - intamuscular fat).
Эти данные дают понимание по состоянию свиньи, это полезно в селекции для определения самых выдающихся производителей и присвоения селекционного индекса.
На откорме - можно скорректировать рацион перед убоем.
2. КРС мясного направления, к сожалению, тут прижизненная оценка мяса не на столько широко распространена, более широко это применяется в США.
Оборудование тоже самое, только датчик не 13 а 18 сантиметров.
Снимки 2, 3, 4
Измерения можно производить те же самые:
1. Подкожный жир
2. Глубина мышцы
3. В/м жир (та самая мраморность - Marbling)
4. Площадь мышечного глазка (тот самый rib eye)
И также как и на свиньях, возможность прижизненно определить наилучших животных и производить определенные корректировки даёт положительный экономический эффект.
Обязательно пишите в комментариях, интересно ли Вам больше узнавать про это направление, и не зря ли я этим всем занимаюсь :).
У меня есть несколько переведенных исследований на тему УЗИ, и если это действительно интересно, я могу ими делится!
Всем хорошего дня и высокой продуктивности ваших животных!!!
Опубликовано: 15 марта, 2022 в 09:22
Похожие посты

И снова о УЗИ семенников у разных видов животных.

Расшифровка вчерашнего УЗИ снимка

Интерактив по УЗИ!)

Обзор новостей за 15 апреля

Приглашаем вас в ВАСС! Или ветеринары на страже благополучия животных!


2 комментария
Как уже и говорил в данный момент на свиноводстве очень широко используется в РФ данный метод исследования.
В направлении мясного КРС и Овцеводства пока нужно работать, но думаю со временем и туда это внедрится))
И также есть возможность работы по фертильности самцов, напишу тут чтобы в опроснике не спойлерить) это был снимок семенника у быка породы Ангус)