
Кисты яичника у КРС
1,04К
Добрый день коллеги, рад вернуться сюда снова!
Итак, сегодня предлагаю к обсуждению такую проблему как кистозная дегенерация фолликулов яичника, в простонародье - кисты.
Они являются достаточно большой проблемой в хозяйствах, заболеваемость ими составляет около 10% а экономический ущерб складывается из увеличения дней сервис-периода и сопутствующих этому затрат. Очень важно диагностировать, а главное дифференцировать их между собой правильно!!!
Это возможно, при наличие хорошего УЗИ аппарата.
По обычной классификации мы знаем, что есть фолликулярные кисты и лютеиновые кисты (кисты 1 типа и 2 типа).
А что если я скажу, что в последнее время мировое сообщество определило кисты 3го типа? А 95% тел, которые мы диагностируем как лютеиновые кисты, не являются таковыми и в целом не требуют затрат на их лечение и каких-либо манипуляций?
Также большинство учёных предлагают пересмотреть классификацию на просто патологические и не патологические кисты...
Есть много понятий о кистах (даже в классификации) которые необходимо пересмотреть!
Вам будет интересно окунуться в эту тему глубже?
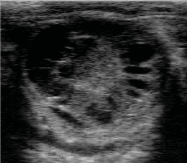
Предлагаю рассмотреть снимки и в комментариях ответить, какие кисты вы видите и кисты ли это, а потом будем разбираться с каждым случаем в отдельности!
Всем высоких удоев и хорошего дня! :)
Опубликовано: 25 марта, 2022 в 08:42
Похожие посты

Манюня, вы стельная!
Кормовые добавки с метионином и улучшение воспроизводства скота

Незаменимые нутриенты для эффективного расщепления клетчатки

Сроки ультразвукового исследования (УЗИ) на стельность

Узнайте немного больше о нескольких забавных породах коров.


11 комментариев
Цикл
Уровень прогестерона
Скорость зачатия
Риски эмбриональной смертности.
Возвращаясь к Вашему комментарию, соглашусь по поводу 3го случая, он очень спорный и разные специалисты будут его трактовать по разному.
И касательно этого снимка, я согласен что также (как трабекулы) могут светиться лизированные эритроциты, полость обычно схлопывается и заростает через 20-30 дней, (около 90%).
Что я могу предложить Вам сейчас, если Вам всё ещё интересно - напишите Вашу почту и я поделюсь вебинарами по УЗИ и репродукции которые у меня имеются.