
Фолликулярные и лютеиновые кисты у КРС
Кисты яичников (Cysta ovarii) – округлые сферические полости, образовавшиеся в яичнике из желтых тел или фолликулов в результате перерождения, атрофии их элементов.
Киста состоит из капсулы, покрытой фолликулярным эпителием, и жидкого серозного или коллоидного содержимого.
- Вид животного: КРС
- Категория болезни: Болезнь органов воспроизводства
- Заразная: Нет
- Зооантропоноз: Нет
- Лечится: Да
- Природно-очаговая: Нет
- Возрастные группы: Взрослые
🔴Поражаемые виды
Чаще всего страдают высокопродуктивные животные, так как высокие надои приводят к увеличению уровня эстрогенов, что провоцирует образование кист.
🔴Этиология
Фолликулярная киста - шаровидная тонкостенная полость, наполненная жидкостью желтого цвета. В крови КРС поднимается уровень эстрогена, после чего отмечают удлинение полового цикла, их проявление длится каждые 7–10 суток.
Лютеиновые кисты – тонкостенные или толстостенные полости, поверхность которых покрыта лютеиновой тканью. Содержат прогестерон в большом количестве. Оболочка кист обычно более 0,5 см из-за лютеинизации, поэтому их трудно раздавить.
🔴Клинические признаки
- Отмечается снижение продуктивности.
- Между корнем хвоста и седалищными буграми появляются видимые впадины.
- Половая охота не проявляется, либо, наоборот, отмечается повышенная активность.
- Вкус молока становится специфическим (быстро портится). Повышается активная кислотность, ускоряется свертываемость молока, содержание жира падает на 0,1–0,2%. Молоко, полученное от таких коров, не пригодно для реализации.
🔴Диагноз
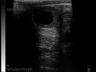
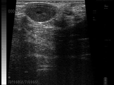
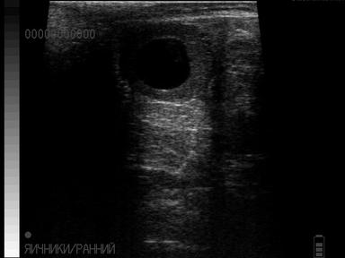
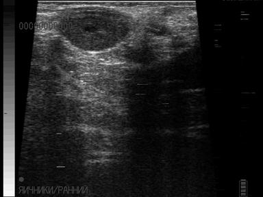
Первоначальное появление кист не проявляется расстройством полового цикла, болезнь часто диагностируется без клинических признаков. Ректальное исследование - наиболее распространенный и точный метод диагностики кист яичников, однако пальпацией отличить лютеиновую кисту от других видов кист достаточно сложно (киста желтого тела). Лютеиновая киста более плотная по консистенции, но это обобщенное показание. Более точной диагностикой является ректальное ультразвуковое исследование, которое дает возможность визуализировать структуры яичника, и различать лютеиновые кисты от других видов кист. При таких аномалиях необходимо своевременно начать лечение, чтобы не допустить экономические потери.
🔴Лечение
Медикаментозное лечение считается самым эффективным и безопасным. Хорошо себя зарекомендовала гормональная терапия, которая приводит к устранению кист и стимуляции половой охоты.
Гормональное лечение лютеиновых кист основано на использовании гормона PGF2a(Простагланди́н). Препараты: Эстрофантин, эстрофан, динолитик, фертадин, действующим веществом которых является простагландин, устраняющий лютеиновые кисты, что в свою очередь останавливает действие прогестерона на гипоталамо-гипофизарную систему, способствует регрессии кисты и дает рост новых фолликулов.
Лечение фолликулярной кисты
При лечении фолликулярных кист используют гормональные препараты — ГнРГ (Гонадотропин-рилизинг-гормон) - Сурфагон, оварелин, геставет, фертагон, фертагил; СЖК (Сыворотка Жерёбой Кобылы) – Фоллимаг.
При использовании препаратов ГнРГ и СЖК:
- 1 день - В/м или в/в Оварелин 3 мл
- 2 день - В/м или в/в Оварелин 3 мл
- 3 день - В/м или в/в Оварелин 3 мл
- 12 день - В/м Простагландин (Эстрофантин, динолитик) дозировку смотрим по аннотации, искусственное осеменение через 48–96 часов.
При использовании СЖК:
- 1 день — В/м Фоллимаг 1200 МЕ на животный содержимый флакон разводим раствором NaCL 0,9% 5 мл
- 11 день — В/м Простагландин (Эстрофантин, динолитик) дозировку смотрим по аннотации
- 13–14 день - Искусственное осеменение
Лечение лютеиновой кисты
В/м Простагландин (Эстрофантин, Динолитик) – смотреть дозировку препарата, указанную в аннотации повторно с промежутком 24 часа. Признаки половой охоты (течка, садка) наступают через 48-72 часа после последней инъекции. Последующее осеменение.
Важно: Нельзя использовать оперативные методы лечения (раздавливание кист ректально), они способны привести к осложнениям (спайки яичников), внутреннему кровотечению и появлению новых кист, что в свою очередь приводит к постоянному бесплодию и дальнейшей выбраковке животного!
🔴Профилактика
Профилактика образования кист заключается в выявлении и устранении факторов, способствующих ее появлению, к этим относятся:
- Стресс перед отелом
- Нарушение рациона
- Маточные инфекции
Кроме этого, введение ГнРГ на 14 день после отела уменьшает вероятность образования кист. Раннее введение не является эффективным, поскольку гипофиз не способен высвободить ЛГ в ответ на ГнРГ до 12-14-го дня после отела.
Источники:
- Краткое руководство по репродукции животных часть 1 и 2 издание Intervetinternationalbv 10-е издание, исправленное и дополненное, 2009 г.- 114–118 с.






27 комментариев
В разделе "этиология! описана клиника и морфология кист.
В крови КРС поднимается уровень эстрогена, после чего отмечают удлинение полового цикла, их проявление длится каждые 7–10 суток. НАОБОРОТ НАБЛЮДАЕТСЯ УКОРОЧЕНИЕ ЦИКЛОВ! Нормальная продолжительность 19-23 дня
Геставет не ГнРГ, а хорионический гонадотропин!
Средней продолжительностью полового цикла считается 18-25 дней, если быть точным, а в начальной стадии образования кист расстройство полового цикла не наблюдается, поэтому болезнь удается определить раньше.
Чаще всего страдают высокопродуктивные животные, так как высокие надои приводят к увеличению уровня эстрогенов, что провоцирует образование кист. - С чего это высокие надои увеличивают уровень эстрогенов??? Почему тогда у высокопродуктивных коров "тихие охоты" и гипофункция чаще бывают!?
Средней продолжительностью полового цикла считается 18-25 дней, если быть точным, а в начальной стадии образования кист расстройство полового цикла не наблюдается, поэтому болезнь удается определить раньше. - Опять что то невразумительное!!! Нимфомания (укороченный цикл) - первый признак фолликулярной кисты!
В крови КРС поднимается уровень эстрогена, после чего отмечают удлинение полового цикла, их проявление длится каждые 7–10 суток. НАОБОРОТ НАБЛЮДАЕТСЯ УКОРОЧЕНИЕ ЦИКЛОВ! Нормальная продолжительность 19-23 дня###
А взаимосвязь между высокой продуктивностью и увеличением уровня эстрогенов, тут все просто, при концентрированном типе кормления показатели высоких удоев отрицательно влияют на показатели воспроизводства.
А если вы работаете на скоте который даёт 6 или 8 тысяч за лактацию, то ваши высказывания я считаю неуместны
Прочтите хотя бы инструкцию к применению препарата
Так вот вопрос следующий, как вы определили без размерной сетки дисплея,что это ЖТ?
Я просто к чему это сказал, что прежде чем оставлять комментарии, ознакомьтесь с другими источниками
Поэтому я думаю в этой статье все ясно описано, только не раскрыто до конца
Потому как очень в редких случаях фолликулярная киста перерастает в лютеиновую кисту и я не думаю, что этому поспособствовла инъекция ГнРГ
Потому как очень в редких случаях фолликулярная киста перерастает в лютеиновую кисту и я не думаю, что этому поспособствовла инъекция ГнРГ***
В конце концов это пользовательская сеть, на сколько я понимаю, если здесь раскрывать такие обширные темы, то извините меня, мне проще тогда почитать в гугле или в какой нибудь книге о заболевании
Притом, что про кистозные образования это очень спорная тема и каждый понимает её по разному
Вам статья до конца не раскрыта, мне например там все понятно и я думаю другим так же все понятно, а Вы и ещё один товарищ не понимаете то что описано там, гнете свою линию и что-то доказываете
Вам статья до конца не раскрыта, мне например там все понятно и я думаю другим так же все понятно, а Вы и ещё один товарищ не понимаете то что описано там, гнете свою линию и что-то доказываете###